Mas100cia @Mas100Cia
BIOLOGÍA Y GEOLOGÍA
BG1BTO BG1BTO

SISTEMAS NEUROENDOCRINO Y

LOCOMOTOR ANIMAL

4. SISTEMA ENDOCRINO

El sistema hormonal o endocrino colabora con el nervioso en la función de relación y la coordinación. En animales está formado por un conjunto de glándulas endocrinas, que fabrican sustancias químicas llamadas hormonas, las cuales son vertidas a la sangre o el medio intercelular y actúan sobre células diana, con receptores apropiados para dichas hormonas. El sistema nervioso también produce un tipo especial de hormonas llamadas neurohormonas.

4.1. HORMONAS EN INVERTEBRADOS

En los invertebrados las hormonas regulan el crecimiento, la muda, la metamorfosis, la regeneración de tejidos y la reproducción. La mayoría son neurohormonas secretadas por el sistema nervioso. Cnidarios: tienen hormonas para el crecimiento y la reproducción asexual por gemación. Anélidos: tienen neurohormonas que regulan la regeneración y la madurez sexual. Moluscos: con neurohormonas para la reproducción y la puesta de huevos. Artrópodos: tienen el endocrino más complejo y mejor estudiado. Fabrican neurohormonas y también hormonas auténticas. Neurosecreción: a partir de glándulas cercanas al cerebro, como los cuerpos cardíacos y los cuerpos alados. Secreción endocrina: la realiza la glándula protorácica, que segrega ecdisona, la hormona de la muda. 4.1.1. FEROMONAS Las feromonas son mensajeros químicos que se vierten al medio externo e influyen en el comportamiento de organismos de la misma especie. Pueden actuar de dos formas: Expulsadas al aire: feromonas sexuales para atraer a la pareja, trazas químicas para marcar una ruta (hormigas), etc. Transmitidas por la boca: intervienen en la morfogénesis: el cambio de estructuras corporales. Las abejas reina, por ejemplo, segregan una feromona que, lamida por las obreras, las mantiene estériles, impide que creen nuevas reinas y las estimula en su labor.

4.2. HORMONAS EN VERTEBRADOS

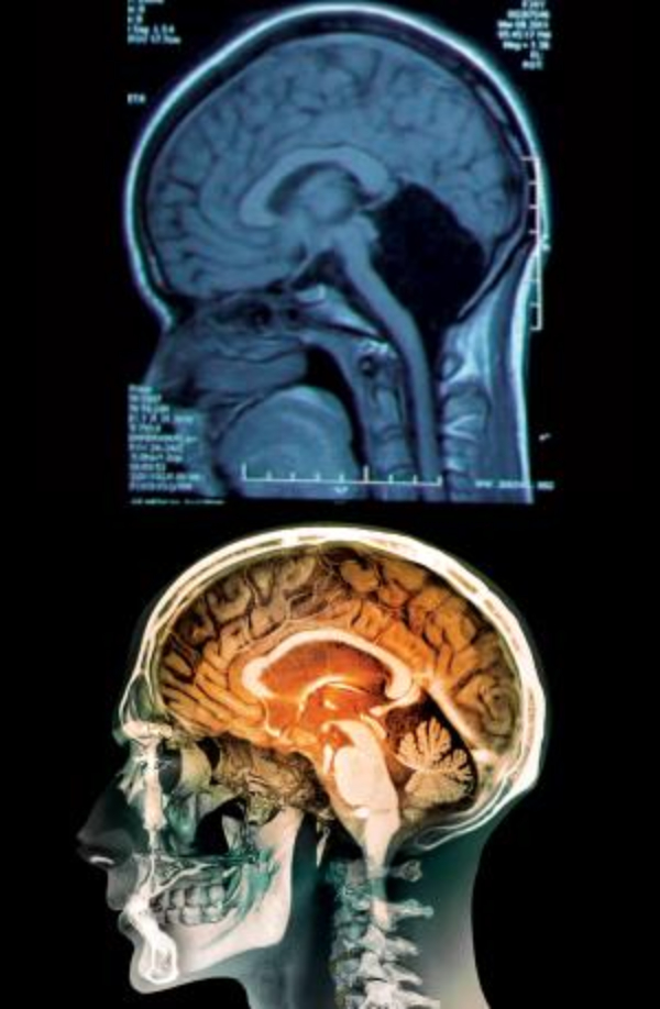
En los vertebrados existen neurohormonas, hormonas segregadas por glándulas endocrinas y hormonas segregadas por células tisulares aisladas. Todo el sistema está jerarquizado y controlado por el SNC a través del hipotálamo, auténtico piloto automático de todo el complejo. El hipotálamo recibe estímulos nerviosos internos y externos y manda respuestas, en forma de neurohormonas, llamadas factores liberadores, a la hipófisis situada en la base del cerebro. Estimulada por el hipotálamo, la hipófisis libera multitud de hormonas que controlan las glándulas endocrinas de todo el cuerpo. Los eslabones del circuito se regulan entre sí mediante un mecanismo de llamado feed-back o retroalimentación en el que cualquier variación en el nivel de hormonas producidas por glándulas bajo el control de la hipófisis, influye en el hipotálamo inhibiendo o estimulando su actividad. Aunque el funcionamiento global es similar en todos los vertebrados, existen ciertas peculiaridades diferentes según las clases: Peces: el hipotálamo controla la acción de la hipófisis que mediante neurohormonas regula la función de los órganos sexuales. También una región de la médula segrega neurohormonas para la osmorregulación. Anfibios: hipotálamo, hipófisis y gónadas sexuales. Reptiles: las mismas que los anteriores y además células pancreáticas producen insulina. Aves: además de las anteriores, la epífisis o glándula pineal es sensible a los cambios de luz y el hipotálamo, al ser informado, regula actividades como las migraciones, el cambio de plumaje, la conducta reproductora, etc. Mamíferos: la glándula pineal no recibe la luz directamente y está relacionada con los ritmos circadianos (día-noche).

5. EL SISTEMA LOCOMOTOR

El sistema locomotor permite el movimiento corporal y, en la mayoría de animales, requiere de un sistema muscular y un sistema esquelético. En los animales, el movimiento suele ser fundamental para su supervivencia y reproducción: captura del alimento, huida de depredadores, busca de pareja, … Los músculos esqueléticos son los principales órganos de la movilidad. Pero necesitan apoyarse y conectarse mediante estructuras esqueléticas, como huesos, articulaciones, tendones, etc. Además, el movimiento es controlado por el sistema nervioso mediante neuronas motoras. Las principales diferencias entre animales se deben al tipo de esqueleto que posean: Invertebrados de cuerpo blando: suelen tener un esqueleto hidrostático, basado en la presión de los músculos sobre los líquidos internos. Así sucede en cnidarios, platelmintos, anélidos, moluscos o equinodermos. Artrópodos: tienen un exoesqueleto, quitinoso o calcáreo, que les cubre el cuerpo. Este exoesqueleto presenta protuberancias internas que sirven de anclaje a los músculos. Vertebrados: presentan un esqueleto interno cartilaginoso (condrictios) o, más habitual, óseo. Los huesos se unen entre sí mediante articulaciones con ligamentos. Además, se unen a los músculos mediante tendones.
Para ir a donde no se sabe hay que ir por donde no se sabe.” San Juan de la Cruz “It must be a strange world not being a scientist, going through life not knowing--or maybe not caring about where the air came from, where the stars at night came from or how far they are from us. I WANT TO KNOW” Michio Kaku “Nullius in verba” Robert Boyle, Christopher Wren y Robert Hooke

1º BTO