Como todo ser vivo, la célula tiene un ciclo vital. Dicho ciclo se denomina ciclo celular y abarca el periodo entre dos divisiones sucesivas.El ciclo celular se divide en dos etapas: la interfase y la fase M o de división.Interfase: la célula realiza sus funciones vitales habituales y, en su caso, se prepara para la división. A su vez, consta de 3 fases sucesivas:Fase G1: etapa inmediatamente posterior a la mitosis. Etapa de crecimiento celular y de intensasíntesis de ARN y proteica, necesaria para el crecimiento. Las células que permanecen en esta fase indefinidamente (células diferenciadas) se dice que están en fase de reposo o fase G0.Fase S: cuando la célula alcanza un tamaño crítico necesita dividirse. Comienza así la síntesis de ADN y la duplicación de cromosomas, que quedan formados por dos cromátidas, para repartirlos equitativamente entre las células hijas. Hasta el final de la fase M la célula tendrá el doble de cantidad de ADN de una célula en fase G1. En esta fase se duplican también los centrosomas y los centriolos(en células animales).Fase G2: la célula se prepara para la división. Termina su crecimiento y se sintetizan ARN y proteínas. Al final de esta fase comienza la condensación de la cromatina en cromosomas.Fase M: es la fase de división celular. Incluye la mitosis (división del núcleo) y la citocinesis (división del citoplasma).
2. EL NÚCLEO INTERFÁSICO
Durante la interfase se observa un orgánulo voluminoso en el interior de la célula, el núcleo. El núcleo contiene el material genético en forma de ADN y dirige la actividad celular.La posición puede ser central o periférica, dependiendo del tipo de célula. La forma también varía: esférica, lobulada, arriñonada, fusiforme, aplanado, arrosariado,… El tamaño depende en general de la actividad celular, mayor cuanto más intensa. El número varía de 1 (lo más habitual) a 2 o varios, incluso hay células anucleadas.El núcleo posee una envoltura con poros, un nucleoplasma o contenido nuclear con cromatina y, habitualmente, uno o más corpúsculos esféricos llamados nucleolos.Envoltura nuclear: es una doble membrana, con un espacio perinuclear en medio que es continuación del espacio del retículo endoplásmico. Está atravesada por numerosos poros.Membrana nuclear externa: es una continuación de la del RER y puede presentar ribosomas en su cara citosólica.Membrana nuclear interna: en su cara interna lleva una red de filamentos proteicos, la lámina fibrosa o lámina nuclear, cuya función parece estar relacionada con la organización de la cromatina y la formación de la envoltura nuclear al final de la mitosis.Poros nucleares: son orificios con una estructura proteica llamada complejo del poro. Los poros pueden abrirse y cerrase para permitir el transporte específico de macromoléculas entre el citosol y el nucleoplasma.Nucleoplasma: o matriz nuclear. Medio interno similar al citosol. Contiene una disolución de sales, nucleótidos, ARN y proteínas, incluidas enzimas de la replicación y transcripción del ADN.Nucleolo: estructura más o menos esférica, densa y de contorno irregular. Aquí se sintetizan los ARNr y se ensamblan para formar ribosomas. Los genes que codifican para el ARNr se hallan repartidos en diversos cromosomas, los cromosomas organizadores del nucleolo (13, 14, 15, 21 y 22 en humanos). Las regiones de estos cromosomas que codifican para esos ARNr se unen formando la región organizadora del nucleolo (RON). Este ADN, junto a multitud de enzimas, proteínas y componentes ribosomales en construcción forman el nucleolo.Cromatina: en el núcleo interfásico el ADN siempre va asociado a proteínas, formando la cromatina. La cromatina presenta diferentes niveles de complejidad o empaquetamiento:Nucleosoma y collar de perlas: la doble hélice se enrolla alrededor de un octámero de histonas, formando un nucleosoma. Los nucleosomas están unidos por segmentos de ADN bicatenario que le da a la cromatina el aspecto de un “collar de perlas”.Fibra de 30 nm (300 Å) o fibra de cromatina: es un nivel de empaquetamiento más complejo. El “collar de perlas” se enrolla sobre sí mismo y forma solenoides de unos 6 nucleosomas por vuelta. La histona H1 se coloca en el hueco del solenoide y mantiene la estructura. El conjunto es una fibra de cromatina de 30 nm de diámetro.En la interfase se diferencian dos tipos de cromatina:Eucromatina: zona menos densa del nucleoplasma. La cromatina está menos empaquetada y se está transcribiendo. Difiere en cada tipo celular.Heterocromatina: zonas más densas. Cromatina más condensada. El ADN no se transcribe y está inactivo. Un caso especial es el cromosoma X en mujeres. Uno de los dos se desactiva y permanece como heterocromatina formando el corpúsculo de Barr o cromatina sexual.
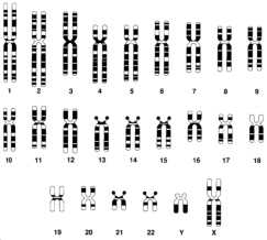
3. EL NÚCLEO MITÓTICO: CROMOSOMAS
El cromosoma interfásico en forma de cromatina, aunque algo condensado en la fibra de 30 nm, sigue estando muy enmarañado y repartirlo a las células hijas en la división no es posible.Durante la fase S, los cromosomas duplican su ADN y cada uno tiene 2 cadenas idénticas llamadas cromátidas.Cuando la célula entra en fase M las fibras de cromatina de las cromátidas comienzan a condensarse en bucles radiales y espirales de rosetones, este empaquetamiento se consigue con la ayuda de un armazón proteico. El conjunto formará el cromosoma mitótico, que alcanza su empaquetamiento máximo en la metafase.Por tanto, el cromosoma mitótico es un cromosoma doble muy condensado y listo para poder repartir cada cromátida a una célula hija.El cromosoma metafásico consta de los siguientes elementos:Cromátida: cada parte simétrica y genéticamente idéntica.Constricción primaria o centrómero: estrechamiento que sirve de zona de unión de las dos cromátidas hermanas.Cinetocoros: complejos proteicos situados a ambos lados del centrómero. Son las zonas donde se unirán los microtúbulos cinetocóricos, que permitirán la separación de las cromátidas en la anafase.Constricciones secundarias: estrechamientos asociados a los nucleolos y llamados regiones de organización nucleolar(RON). Cuando están cerca del extremo del delimitan un corto segmento del cromosoma llamado satélite.Telómero: fragmentos terminales de ADN que protegen los extremos del cromosoma e impiden que se adhieran a otros cromosomas.Bandas: zonas de colores diferentes que aparecen a lo largo del cromosoma cuando son teñidos.
3.1. TIPOS DE CROMOSOMAS
El centrómero divide a los cromosomas en dos porciones llamadas brazos. La longitud relativa de los brazos permite clasificar a los cromosomas en:Metacéntricos: centrómero central y brazos iguales.Submetacéntricos: brazos ligeramente desiguales.Acrocéntricos: brazos muy desiguales.Telocéntricos: centrómero en un extremo. Sólo hay un brazo.Por otra parte, existen dos tipos especiales de cromosomas enormes llamados cromosomas gigantes:Cromosomas politénicos: aparecen en células salivares de dípteros (moscas y mosquitos). Se forman por sucesivas duplicaciones del ADN sin separación de las cromátidas.Cromosomas plumosos: en ovocitos en diploteno. Las cromátidas tienen amplias regiones en transcripción, por lo que los bucles de cromatina se extienden dando una estructura plumosa.
3.2. NÚMERO DE CROMOSOMAS
Cada especie de organismo tiene un mismo número de cromosomas en todas sus células. Sin embargo, en organismos de reproducción sexual, hay células con la mitad de cromosomas: los gametos.Según el número de juegos de cromosomas que posean, las células y los organismos se clasifican en:Diploides (2n): células con 2 juegos de cromosomas, uno paterno y otro materno, que forman parejas de homólogos. Los cromosomas homólogos llevan información para los mismos caracteres, pero no necesariamente la misma información.Haploides (n): células con un único juego de cromosomas. Esporas, gametos, algunas algas, hongos e incluso algunos animales.Poliploides: células con 3 (triploides, 3n), 4 (tetraploides, 4n) o más juegos de cromosomas.
4. DIVISIÓN CELULAR: MITOSIS Y
CITOCINESIS
La división celular ordinaria consta de dos fases secuenciales: la mitosis(división del núcleo) y la citocinesis (división del citoplasma y separación de las células hijas).La mitosis no siempre se continúa con citocinesis (células plurinucleadas), ni la citocinesis va siempre precedida de mitosis (megacariocitos que producen plaquetas).
4.1 MITOSIS
La mitosis es un proceso por el que el núcleo de la célula eucariota se divide en dos núcleos genéticamente idénticos, cada uno conteniendo el mismo número de cromosomas que la célula original.En eucariotas unicelulares y algunos pluricelulares, la mitosis equivale a reproducción asexual.En la mayoría de pluricelulares, la mitosis se emplea para el crecimiento, desarrollo y regeneración de los tejidos. Por eso, todas las células de un organismo (salvo los gametos) llevan la misma información genética. Sin embargo, pueden ejercer funciones muy diversas debido a la diferenciación celular, efecto de la expresión selectiva de determinada información genética.Aunque la mitosis es un proceso continuo, para sus estudio se divide en 4 etapas: profase, metafase, anafase y telofase.PROFASEEn la profase hay una reorganización de la estructura celular.El nucleolo se desintegra, ya que el ADN que lo constituye se reparte entre los distintos cromosomas a los que pertenece. Hasta el final de la mitosis no volverá a verse.El ADN en forma de cromatina (ya duplicado en la fase S) comienza a condensarse, formándose los cromosomas y haciéndose visibles sus dos cromátidas, unidas por el centrómero.Los microtúbulos del citoesqueleto se organizan para formar el huso mitótico, que permitirá el reparto de las cromátidas.En células vegetales, el huso se forma a partir de los centrosomas o centros organizadores de microtúbulos(COM).En células animales el centrosoma contiene dos diplosomas, dos pares de centríolos (duplicados en la fase S). Al comienzo de la profase este centrosoma se divide en dos partes, cada una con un diplosoma, y los microtúbulos comienzan a crecer por sus extremos (+), separando los centrosomas, que se dirigen cada uno a un polo opuesto de la célula. El papel de los centriolos es el de organizar el COM que, a su vez, organiza los microtúbulos.Al final de la profase se disgrega la lámina fibrosa, la doble membrana nuclear se fragmenta en vesículas y la envoltura nuclear desaparece.METAFASELos cromosomas, arrastrados por los microtúbulos del huso, se disponen en la zona ecuatorial de la célula y alcanzan el mayor grado de condensación. Las dos cromátidas son visibles en forma de X.La membrana nuclear ha desaparecido por completo. El huso mitótico, extendido de polo a polo, presenta tres tipos de microtúbulos: cinetocóricos, polares y astrales.Los polares se alargan hacia los cromosomas. Cuando encuentran un cinetocoro cromosómico lo capturan. A partir de entonces este microtúbulo se denomina cinetocórico. Hay unos 15 a 40 microtúbulos por cinetocoro.Tras una serie de reajustes, los cromosomas se sitúan en el plano ecuatorial del huso, con un cinetocoro dirigido (y unido) hacia cada polo. Se forma así la placa ecuatorial típica de la metafase. En ella, cada cromátida de cada cromosoma está dirigida hacia un polo de la célula.ANAFASELos microtúbulos del huso se acortan y rompen cada cromosoma por el centrómero, con lo que las cromátidas hermanas de cada cromosoma se separan. Ahora cada cromátida es un cromosoma anafásico. El movimiento de las cromátidas se debe a la actuación de los microtúbulos cinetocóricos y polares.Anafase A o temprana: la tubulina de los microtúbulos cinetocóricos se despolimerizan, con lo que estos microtúbulos se acortan y arrastran a las cromátidas (a las que están unidos) hacia polos opuestos.Anafase B o tardía: los microtúbulos polares, solapados en el ecuador del huso, se deslizan en direcciones opuestas alargándose. Esto alarga la célula y contribuye a la separación de las cromátidas. Los microtúbulos astrales también colaboran, pues acercan los centrosomas hacia la periferia celular.Proteínas motoras, como la dineína citoplasmática y la quinesina, unidas al cinetocoro, se desplazan por los microtúbulos y contribuyen a la separación de las cromátidas.TELOFASELas cromátidas hermanas, con la misma carga genética, alcanzan polos opuestos de la célula.Los microtúbulos polares se alargan al tiempo que los cinetocóricos se acortan hasta desaparecer. Así, las cromátidasllegan a los polos.Alrededor de cada grupo de cromátidas se desarrolla la lámina fibrosa y la doble membrana nuclear. El nucleolo reaparece.Las cromátidas (que ya son cromosomas) se descondensan y forman fibras de cromatina.Los microtúbulos polares, aún formando parte del huso, se sueldan entre sí y forman un eje que se rompe al tiempo que comienza la citocinesis. Los microtúbulos reorganizan el citoesqueleto y los núcleos entran en interfase.
4.2. CITOCINESIS: DIVISIÓN DEL CITOPLASMA
Una vez dividido el núcleo, para completar la división celular debe dividirse el citoplasma y repartir los orgánulos. Este proceso se denomina citocinesis y es diferente en células animales y vegetales.La citocinesis suele comenzar en la anafase y acabar entre la telofase y la interfase siguiente.CÉLULA ANIMALLa citocinesis se produce por la aparición de un anillo contráctil en mitad de la célula. Este anillo está formado de microfilamentos de actinay miosina, se estrecha y va constriñendo el ecuador celular. Se forma un surco de segmentación que produce el estrangulamiento celular hasta que queda dividida en dos células hijas.CÉLULA VEGETALLa presencia de una pared rígida impide el estrangulamiento. Para separar a las células hijas, en el centro de la célula se forma un tabique llamado fragmoplasto. El fragmoplasto deriva de la fusión de los microtúbulos del huso y de vesículas producidas en el aparato de Golgi. Estas vesículas vierten los componentes de la nueva pared, formando un tabique que separará a las células hijas. El tabique presenta perforaciones llamadas plasmodesmos que comunican las células hijas.
Para ir a donde no se sabe hay que ir por donde no se sabe.” San Juan de la Cruz“It must be a strange world not being a scientist, going through life not knowing--or maybe not caring about where the air came from, where the stars at night came from or how far they are from us. I WANT TO KNOW” Michio Kaku“Nullius in verba” Robert Boyle, Christopher Wren y Robert Hooke
Inactivación y activación del cromosoma XEn 1961 Mary Lyon sugirió que la desactivación de un cromosoma X en mujeres se produce al azar en etapas embrionarias. Hoy se acepta que esto es correcto y al proceso se le denomina “Lyonización”. El desactivador se halla en el propio cromosoma X. Sin embargo, a veces quedan activados los dos X, lo que es letal. En 2017 se descubrió que se debe a un represor que se halla en el cromosoma 19.
ADN en ArqueasSe ha descubierto (Science) que las arqueas pliegan el ADN de forma similar a los eucariotas. Usan histonas para envolver la doble hélice, pero utilizan sólo una molécula en lugar de 8.y la estructura final es de superhélice, como en bacterias.
Nomenclatura de cromosomasLos cromosomas se nombran mediante un sistema jerárquico: cromosoma, brazo, región, banda, subbanda, subsubbanda. Por ejemplo, el código 14q31.42 indica el cromosoma 14 y que hacemos referencia al brazo q (brazo largo), a la región 3, la banda 1 y, separado por un punto, la subbanda 4 y la subsubbanda 2, o lo que es lo mismo, estamos localizando a la subsubbanda 2 de la subbanda 4 de la banda 1 de la región 3 del brazo q del cromosoma 14.Wikipedia
Gato calicóLos gatos calicó tienen una coloración característica: el pelaje blanco muestra manchas marrón-anaranjado y negras y son todos hembra. Se debe a que el color del pelo está codificado en el cromosoma X. La desactivación de uno de los X da un color en mosaico.