BIOLOGÍA Y GEOLOGÍA

GENÉTICA MOLECULAR

MUTACIÓN, CÁNCER Y EVOLUCIÓN

1. LAS MUTACIONES

Las mutaciones son cambios en el material genético que, por ello, afectarán a la secuencia de aminoácidos de las proteínas, a regiones reguladoras o a otras zonas del ADN. Las mutaciones sólo son heredables si afectan a las células germinales. En células somáticas sólo afectan al propio individuo, salvo en la reproducción asexual. Según la cantidad de material afectado, las mutaciones se clasifican en génicas, cromosómicas y genómicas.

1.1. MUTACIONES GÉNICAS O PUNTUALES

Son mutaciones que afectan a un par o unos pocos pares de bases. Existen varios tipos: a. Sustituciones: mutaciones que cambian el sentido de lectura del ARNm. Consisten en el cambio de una base (nucleótido) por otra. Pueden ser de dos formas: Transiciones: cambio de una base púrica por otra (A por G o viceversa) o de una base pirimidínica por otra (C por T o viceversa). Transversión: cambio de una base púrica por una pirimidínica o al revés. Es más infrecuente. Si estas modificaciones afectan a los exones del ARNm, puede dar lugar a la traducción de aminoácidos diferentes del normal, alterando el sentido de lectura del triplete de dos formas: Sustitución conservadora: el nuevo aminoácido es igual o similar al sustituido. La secuencia proteica puede cambiar, pero sin consecuencias importantes: mutación neutra. Sustitución no conservadora: la diferencia entre los aminoácidos es notable y, si se encuentran en el sitio activo o un dominio importante de la proteína, ésta puede perder total o parcialmente su estructura y, por tanto, su función. b. Inserciones y deleciones: mutaciones que cambian el marco de lectura. Inserción: introducción de uno o unos pocos nucleótidos en la secuencia del ADN. Deleción: pérdida de uno o unos pocos nucleótidos en la secuencia del ADN. Si el número de nucleótidos introducidos o eliminados es múltiplo de 3 el resultado es la adición o eliminación de aminoácidos. En caso contrario, cambia todo el marco de lectura a partir del punto de inserción o deleción.

1.2. MUTACIONES CROMOSÓMICAS

Son alteraciones del número o disposición de las secuencias génicas de los cromosomas. Pueden darse por: a. Inversión: un segmento invierte su secuencia. b. Deleción: se elimina un fragmento del cromosoma. c. Duplicación: se repite una misma secuencia. d. Translocación: fusión de un fragmento de un cromosoma con otro cromosoma. Otra fuente de mutaciones cromosómicas son los transposones. Descubiertos por Bárbara McClintock en los años 40 del s. XX, un transposón o elemento genético transponible es una secuencia de ADN que puede moverse de manera autosuficiente a diferentes partes del genoma de una célula, un fenómeno conocido como transposición.

1.3. MUTACIONES GENÓMICAS

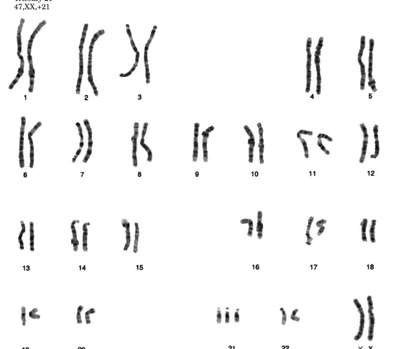
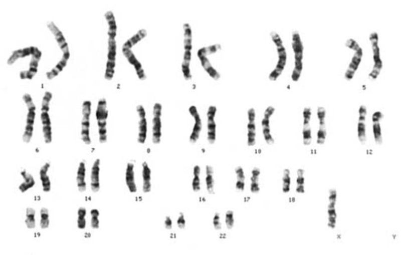
Afectan al genoma entero, alterando el número de cromosomas. Puede ser: a. Poliploidía: aumento en el número de dotaciones completas de cromosomas: triploides (3n), tetraploides (4n),... Si las dotaciones son iguales se denomina autopoliploides (patatas, bananas, sandías sin semillas, algunas manzanas, son triploides; café, cacahuetes, algunas manzanas, son tetraploides; las fresas son octoploides). Si las dotaciones proceden de especies distintas (híbridos) se llaman alopoliploides (algodón (4n); trigo (2n, 4n, 6n)). b. Haploidía: se pierde una dotación cromosómica. Se da en gametos y organismos partenogenéticos. c. Aneuploidía: pérdida o ganancia de un cromosoma completo. Nulisomía (2n-2): falta una pareja cromosómica y es letal. Monosomía (2n-1): pérdida de un cromosoma de la pareja homóloga (síndrome de Turner: 45,X Única viable); trisomía (2n+1): con tres cromosomas homólogos. Síndrome de Down 47,+21;síndrome del ojo de gato 47,+22; síndrome de Klinefelter: 47,XXY (Carlos II, el “Hechizado”, lo padeció por la endogamia); síndrome 47,XXX (triple X o supermujer); 47,XYY (supermacho o de Jakob)). Suelen darse por fallos en la meiosis.

2. EFECTOS DE LAS MUTACIONES

2.1. MUTACIONES PERJUDICIALES

Compatibles con la vida: algunas son mutaciones silenciosas o neutras, no se expresan. Afectan a los intrones o provocan el cambio de un aa por otro idéntico o similar. Otras mutaciones se expresan, pero no tienen efectos demasiado graves (anemia falciforme, albinismo, galactosemia, fenilcetonuria,...). Mutaciones letales y deletéreas: las letales afectan a proteínas cruciales para el metabolismo, por lo que causan la muerte, bien prenatal o postnatal (corea de Huntington, progeria o Hutchinson- Gilford). Las deletéreas disminuyen las posibilidades de supervivencia y/o reproducción. Mutaciones carcinógenas: ocasionan carcinomas, tumores cancerígenos. Agentes físicos, químicos y biológicos pueden alterar el ADN y producir tumores. La leucemia puede deberse a exposición a radiaciones ionizantes. Mutaciones teratógenas: producen malformaciones en los fetos y neonatos. Se producen por sustancias químicas (talidomida) o radiaciones sobre la madre embarazada.

2.2. MUTACIONES BENEFICIOSAS: EVOLUCIÓN

Aunque sea el caso más improbable, en ocasiones las mutaciones logran mejorar la función de una proteína. Los individuos con esta mutación tendrán ventajas adaptativas, mayor probabilidad de supervivencia y reproducción. Las mutaciones son la base de la evolución. Las poblaciones constituyen la unidad evolutiva. Cuando una mutación aparece en ellas (por azar), se extiende debido a la recombinación génica durante la reproducción sexual. Entonces comienza a actuar la selección natural, que no es al azar, y es llevada a cabo por el medio ambiente. Las poblaciones con mutaciones perjudiciales, tendrán menos probabilidad de sobrevivir y reproducirse, con lo que cada vez habrá menos individuos con dicha mutación. Por el contrario, las poblaciones con mutaciones ventajosas sobreviven mejor, se reproducen más y pasan dichas mutaciones a sus descendientes, incrementando su presencia. Tras innumerables generaciones, las mutaciones favorables se acumulan y provocan cambios sutiles y continuos que, a muy largo plazo, ocasionarán la aparición de nuevas especies. Por tanto, las mutaciones (junto con la reproducción sexual) aumentan la variabilidad y, por ende, la biodiversidad (variedad de especies, variedad de ecosistemas y diversidad genética).

3. AGENTES MUTÁGENOS

Un agente mutágeno es un agente físico (temperatura, radiación,...); químico (medicamentos, gases tóxicos,...); o biológicos (virus, bacterias, transposones,...) que causa mutaciones.

3.1. MUTÁGENOS ENDÓGENOS: MUTACIONES

ESPONTÁNEAS

Son mutágenos que dan lugar a mutaciones de forma espontánea y natural mediante: Metabolitos reactivos: consecuencia de la propia actividad celular. Destacan los radicales libres, muy reactivos y que causan daños en el ADN. Proceden sobre todo del oxígeno (radicales superóxido (O 2 *) e hidroxilo (HO * )). Oxidan los lípidos de membrana, inactivan enzimas y dañan al ADN. Las mitocondrias están más expuestas. Errores de apareamiento durante la replicación del ADN: con todos los sistemas de corrección, se ocasiona un error cada 10 10 pares de bases. Este porcentaje aumenta con la edad. Transposiciones: por retrotransposones y transposones. Fluctuaciones térmicas: temperaturas de 37º C o más provocan despurinación (pérdida de bases púricas) y desaminación (transformación de unas bases en otras).

3.2. MUTÁGENOS EXÓGENOS: MUTACIONES INDUCIDAS

Son agentes físicos, químicos y biológicos. Han aumentado enormemente debido a las tecnologías y los hábitos de vida. AGENTES MUTÁGENOS FÍSICOS Son radiaciones de alta energía capaces de dañar al ADN. a. Radiación ultravioleta: procede del Sol y originan cánceres de piel. Rayos UVB: más energéticos. Rompen puentes de H del ADN y lo desorganizan. Rayos UVA: menos energéticos. Aumentan los radicales libres. b. Radiaciones ionizantes: radiaciones electromagnéticas de longitud de onda muy corta, muy energéticas: rayos X, rayos gamma y flujos de neutrones y protones. Al chocar con átomos y moléculas los convierten en iones y radicales muy reactivos, capaces de alterar el ADN. Las células en división son las más sensibles (células cancerosas, células de la médula ósea, células del bulbo piloso, etc). c. Radiación corpuscular: partículas α y β de isótopos radiactivos (centrales nucleares, gas radón,...). AGENTES MUTÁGENOS QUÍMICOS Son sustancias que reaccionan con el ADN, dando deleciones, inserciones y sustituciones. Muchos son carcinógenos. Actúan sustituyendo bases, desaminándolas, añadiéndoles grupos alquilo, uniéndose a las bases, etc. Incluyen: cafeína, benzopireno (tabaco), aflatoxinas (semillas y frutos); ácido nitroso, gas mostaza, asbesto (o amianto), cromo, arsénico, etc. AGENTES MUTÁGENOS BIOLÓGICOS Algunos virus (oncovirus) pueden originar cáncer: virus de la hepatitis B y C; papilomavirus; hespesvirus; virus de Epstein-Barr (mononucleosis), etc. La bacteria Helicobacter pilori, causante de úlceras, se relaciona con cánceres de estómago.

4. SISTEMAS DE REPARACIÓN DEL ADN

Frente a las múltiples agresiones que causan daños en el ADN, existen diversos sistemas para repararlos. Entre ellos: Reparación directa: se activa con la propia luz ultravioleta y corrige los errores que provoca. Reparación por escisión: es una ampliación de los mecanismos correctores postreplicativos. Se realizan cortes de fragmentos de ADN dañado y se sustituyen por los correctos. Sistemas enzimáticos de reparación SOS: se ha hallado en bacterias. Cuando el ADN está muy dañado y no se puede reparar, la ADN Pol II coloca nucleótidos al azar en las zonas dañadas, permitiendo que siga la replicación. Esto dará mutaciones permanentes, pero podría permitir la supervivencia del organismo.

5. MUTACIONES Y ENVEJECIMIENTO

Muchas de las causas del envejecimiento están relacionadas con mecanismos genéticos. El fallo en los sistemas de reparación, la acumulación de errores, la pérdida de telómeros y el propio cáncer llevan al envejecimiento y muerte celular. Existen decenas de genes que pueden prolongar la vida en gusanos, levaduras, moscas, ratones... Su utilidad en humanos no ha sido comprobada. Algunos de estos genes mejoran los mecanismos de reparación del ADN, mejoran el metabolismo, suprimen tumores o alargan los telómeros.

6. MUTACIONES Y CÁNCER

Todas las células tienen mecanismos de control de la división que indican cuándo deben dividirse y cuándo debe terminar el crecimiento del tejido en que se encuentran. Las mutaciones carcinógenas alteran dichos mecanismos, las células se convierten en cancerígenas o tumorales, con lo que crecen y se dividen sin control e invaden tejidos sanos (metástasis). Los tumores benignos son masas de células que permanecen en un mismo lugar (verrugas, p.e). Los tumores malignos o cánceres invaden otros tejidos, crecen de forma continua e informe, agotan las reservas y proteínas del tejido invadido y conducen a la muerte.

6.1 BASES MOLECULARES DEL CÁNCER

Para que una célula normal se convierta en cancerígena se precisan numerosas mutaciones, acumuladas en la misma célula, y cambios epigenéticos. Estas mutaciones y cambios suelen ir acumulándose con la edad, haciendo más propensas a las células a convertirse en cancerosas. Las mutaciones se deben a agentes mutágenos que afectan a los oncogenes, los genes supresores de tumores y los genes de reparación del ADN. Los cambios epigenéticos son cambios en las bases (metilaciones), en las histonas o en otros mecanismos reguladores de la expresión génica. Hábitos de vida, dieta, hormonas pueden influir en estas alteraciones. Mutación del protooncogén en oncogén: los protooncogenes son un conjunto de genes implicados en la regulación, división y diferenciación celular. Las mutaciones en esos genes los pueden convertir en oncogenes, genes que provocan que las células tengan alterados esos mecanismos. Los oncogenes actúan aumentando el crecimiento incontrolado de las células, estimulando la angiogénesis (formación de vasos sanguíneos para su nutrición), dando capacidad invasiva a las células (metástasis) y activando la telomerasa. Mutación de genes supresores de tumores: son genes que frenan la división y proliferación celular, como el p53 y los BRCA (Breast Cancer) 1 y 2. Estos genes pueden parar el ciclo celular entre G 1 y S para reparar el ADN o, si el daño es grave, forzar la muerte celular (apoptosis). Si mutan, pueden perder su actividad y los oncogenes no pueden ser controlados. Mutaciones de los genes de reparación del ADN: la acumulación de numerosas mutaciones solo es posible porque, con la edad, los efectos de los mutágenos se acumulan y afectan a los sistemas correctores de errores, haciéndolos ineficaces.

6.2 PRINCIPALES TIPOS DE CÁNCER

Se conocen más de 100 tipos de cáncer. Los principales se agrupan en: Carcinomas: en células epiteliales (suponen más del 90% de cánceres humanos). Sarcomas: tumores sólidos en tejido muscular, conjuntivo, cartilaginoso y óseo. Leucemias: en sangre. Formados a partir de células hematopoyéticas. Linfomas: a partir de células del sistema inmune.
Para ir a donde no se sabe hay que ir por donde no se sabe.” San Juan de la Cruz “It must be a strange world not being a scientist, going through life not knowing--or maybe not caring about where the air came from, where the stars at night came from or how far they are from us. I WANT TO KNOW” Michio Kaku “Nullius in verba” Robert Boyle, Christopher Wren y Robert Hooke
Mas100cia @Mas100Cia
NUKEMAP. Simulador de una explosión nuclear.
Mutación silenciosa
Marcadores genéticos de cánceres