GENES Y HERENCIA
4. GENÉTICA HUMANA
La genética humana trata sobre la herencia de los caracteres en los
seres humanos. El Proyecto Genoma Humano ha determinado que
tenemos entre 20.000 y 30.000 genes.
GENES Y CROMOSOMAS
Los seres humanos se reproducen sexualmente y sus células son
diploides, es decir, tienen dos dotaciones completas de cromosomas,
una de origen materno y otra de origen paterno.
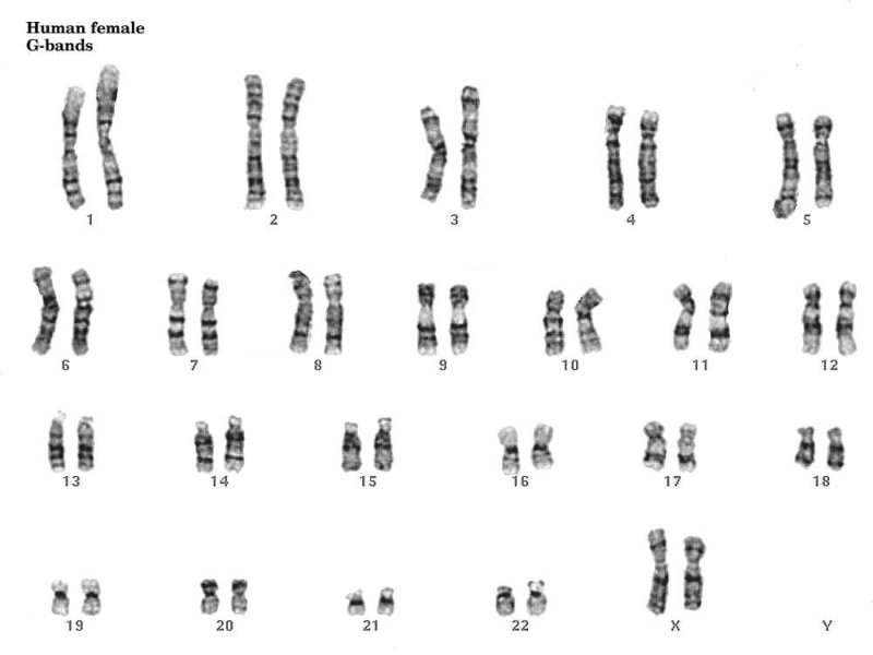
En total, los humanos tienen 46 cromosomas (o 23 pares). Se dice
que el hombre es 2n=46 (n=23).
Al conjunto de todos los cromosomas se le denomina cariotipo. Si se
representan de forma ordenada por tamaños se obtiene un
cariograma o idiograma.
La mayoría de los caracteres de los humanos están controlados por
varios genes y son, por tanto, cuantitativos, por lo que no cumplen las
leyes de Mendel: estatura, color de la piel, tamaño corporal,... Sin
embargo, también hay caracteres cualitativos o mendelianos.
Caracteres recesivos y dominantes
Caracteres recesivos
Caracteres dominantes
Los cromosomas humanos pueden clasificarse en dos categorías:
autosomas y cromosomas sexuales.
•
Autosomas: son los cromosomas que determinan todas las
características humanas salvo el sexo. Son 22 pares.
•
Cromosomas sexuales: son los que determinan el sexo del
individuo. Son un único par, el 23. En mujeres son iguales, dos
cromosomas X. En hombres no son homólogos, pues uno es X
y el otro Y.
HERENCIA DEL SEXO
En los humanos el sexo está determinado por los cromosomas,
concretamente por los cromosomas sexuales.
Los 22 pares de cromosomas autosómicos son iguales en hombre y
mujeres, pero varían los sexuales. Las mujeres tienen cariotipo 44+XX
y los hombre 44+XY.
En mujeres cuando se forman los óvulos, cada uno de ellos llevará la
mitad de cromosomas que las células somáticas y, por tanto, sólo
tendrán un cromosoma sexual, el X.
Los hombres, en cambio, pueden formar dos tipos de
espermatozoides: la mitad llevan un cromosoma X y la otra mitad uno
Y.
Por tanto, el sexo del futuro embrión dependerá del espermatozoide.
Si en la fecundación el espermatozoide es X, nacerá una niña; y si es
Y, un niño.
La probabilidad es del 50 %, por lo que nacen tantos niños como
niñas en el mundo.
Para ir a donde no se sabe hay que ir por donde no se sabe.” San Juan de la Cruz
“It must be a strange world not being a scientist, going through life not knowing--or
maybe not caring about where the air came from, where the stars at night came from or
how far they are from us. I WANT TO KNOW” Michio Kaku
“Nullius in verba” Robert Boyle, Christopher Wren y Robert Hooke
Albinismo y heterocromía en una misma persona.
Araña con ginandromorfismo lateral: mitad
hembra y mitad macho
Bonellia viridis
Las razas humanas no existen
El color de la piel en humanos depende
de numerosísimos genes y sus
combinaciones. Este color, además, no
está relacionado con un determinado
conjunto de caracteres. Por lo tanto, las
razas humanas no existen, como se
explica en este artículo
eldiario.es
Nettie Stevens y los
cromosomas sexuales
Los cromosomas X e Y fueron
descubiertos en insectos por Nettie
Stevens, una alumna del Nobel Thomas
Hunt Morgan, el “señor de las moscas”.
La Voz de Galicia